- Dermoscopy Made Simple - Ink Spot Lentigo.  
 This is another video in the Dermoscopy Made Simple series which looks at the Ink Spot nevus, Watch Now Watch Now
 
- Laser Brown Spot (Lentigo) Destruction at Las Vegas Dermatology  
 Lentigos/Lentigines & Freckles/Ephilids are clinically known as\"Brown Spots\". Commonly found on the backs of the hands and in other areas of sun exposure, ... Watch Now Watch Now
 
- Causes and Treatments for Solar Lentigos  
 More on laser treatments: http://prasadcosmeticsurgery.com/laser-light-treatments/ For more on chemical peels, and microdermabrasion, please go to: ... Watch Now Watch Now
 
- Dermoscopy Made Simple - Solar Lentigo  
 This video from the Dermoscopy Made Simple series looks at solar lentigo. You need to be able to differentiate this from lentigo maligna on sun exposed areas. Watch Now Watch Now
 
- Mohs Effective for Lentigo Maligna  
 Improved immunostaining makes melanocyte identification easier in Mohs surgery patients being treated for lentigo maligna, Dr. Basil Cherpelis explains. Watch Now Watch Now
 
- Dermoscopy Made Simple - Lentigo maligna  
 This video on lentigo maligna is from the Dermoscopy Made Simple series. It looks at the major dermatoscopic features associated with these lesions, ... Watch Now Watch Now
 
- Dermoscopy Made Simple - SCC in situ and Pigmented Bowen's disease  
 This video looks at the dermoscopy of SCC in situ and Pigmented Bowen\'s disease. It is part of the Dermoscopy Made Simple series from ... Watch Now Watch Now
 
- Dermoscopy Made Simple - Blue nevi  
 This is a video from the Dermoscopy Made Simple series looking at the different types of blue nevi. Additional images can be viewed at ... Watch Now Watch Now
 
- Dermpath Made Simple Lentigo Maligna  
 This video looks at the histopathology of lentigo maligna. Watch Now Watch Now
 
- Clinical clues for location-lentigo maligna - D. TIODOROVIC  
 DescriptionDermatoscopia,Dermoscopy, dermatoscopy, dermoscopie, dermatoscopie, Dermatoskopie, international dermoscopy society, dermatology, ... Watch Now Watch Now
 
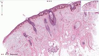
- Solar Lentigo - Histopathology  
 Solar Lentigo - Histopathology - Dermatopathology Small, bud-like acanthotic proliferations; hyperpigmentation of the basal layer; variable increase of ... Watch Now Watch Now
 
- Dermoscopy Made Simple - Benign Nevi  
 This video from the Dermoscopy Made Simple series looks at benign nevi but also shows the transition from clod like to lines reticular as the basic pattern ... Watch Now Watch Now
 
- Lentigo Mani Alex QS Laser  
 Il video mostra la rimozione di lentigo dalle mani di una paziente dello studio Scarcella. Watch Now Watch Now
 
- Dermoscopy Made Simple - Spitz nevi  
 This video looks at Spitz nevi. It is part of the Dermoscopy Made Simple series. See www.dermoscopymadesimple.blogspot.com. Watch Now Watch Now
 
- Lentigo Maligna Surgery  
 Glen Bowen, MD, is the Director of Treatment Planning Conferences, Multidisciplinary Cutaneous Oncology Program at Huntsman Cancer Institute at the ... Watch Now Watch Now
 
- Dermoscopy Made Simple - LPLK.  
 This video from the Dermoscopy Made Simple series looks at LPLK lichen planus like keratosis. This is a histological descriptive term applied to an immune ... Watch Now Watch Now
 
Sunday, June 16, 2019
Ink Spot Lentigo
Subscribe to:
Post Comments (Atom)
Ultimo Romance Cifra
Último Romance - Los Hermanos (aula de violão) INSCREVA-SE: http://bit.ly/1240tnX Aula + cifra em http://cifraclub.tv/v553 - Aula de violão...
 
- 
SALI KI TABIYAT MERE GHAR KHARAB HO GAI US K SATH GARAM KAHANI par 53-(2018) SUBSCRIBE MY CHANNEL DAILY GARAM KAHANI KA MAZA LAIN. Watch N...
- 
Spa Massage Jakarta Barat - Pemandu Wisata Pria Lajang Original video : Food travel 101. Watch Now
- 
Get Rid of Melasma, Dark Spots and Hyperpigmentation - Tri-Luma & Alternatives to Lighten Skin Thank you so much for watching! Come vis...
 
No comments:
Post a Comment